(사회) 2025년 11월 12일(수) 오전 주요 핫이슈 10가지!

📅 발행일: 2025년 11월 12일 오전 브리핑
🏷️ 카테고리: 사회
📊 주요 뉴스: 10건 선별
⏱️ 읽기 시간: 약 3분

📰 오늘의 주요 뉴스

순천향대학교 부천병원이 73세 환자의 7cm 신세포암을 로봇 부분절제술로 성공적으로 제거하며 신장 기능을 보존하는 데 기여했다. 이 병원은 고난도 로봇수술 경험을 바탕으로, 일반적으로 전절제술이 필요한 크기의 종양도 부분절제술로 처리하여 환자의 삶의 질을 높이고 있다. 이상욱 교수는 ‘신장 기능을 지키는 것이 환자의 삶의 질에 매우 중요하다’고 강조하며, 맞춤형 수술을 통해 최적의 치료 결과를 도출하고 있다고 밝혔다.

2026학년도 대학수학능력시험이 13일 시행되며, 총 55만4174명이 응시하는 역대급 규모를 기록했다. 특히 사회탐구 응시율이 77.3%로 증가하면서 대입 경쟁이 치열해질 것으로 예상된다. 의대 정원 축소와 함께 자연계 최상위권 학생들의 진로 변화가 나타날 가능성도 제기되고 있다.

전남 나주시는 KTX 나주역 일대를 복합경제 거점으로 개발하기 위한 사업을 본격화했다. 이 프로젝트는 교통환승존, 상업존, 문화존 등 다양한 기능을 포함하여 지역 경제 활성화를 목표로 하고 있으며, 2027년 착공을 계획하고 있다. 윤병태 나주시장은 ‘혁신도시와 원도심의 균형발전을 실현하겠다’고 밝혔다.

울릉도와 육지를 연결하는 여객선이 12월에 2주간 운행 중단될 예정이어서 주민들의 불편이 우려된다. 현재 운항 중인 여객선이 정기검사로 중단되면서 긴급한 상황에 처한 주민들이 발이 묶일 가능성이 크다. 다행히 화물선은 정상 운항하여 생필품 보급은 유지될 예정이다.

해남군은 중·고등학생을 대상으로 입학축하금 30만원을 지원하기로 했다. 이는 교육발전특구 지정의 일환으로, 보편적 교육복지를 강화하기 위한 노력으로 해석된다. 지원금은 2025년 입학일 기준으로 관내 중·고등학교에 입학하는 학생들에게 지급될 예정이다.

제주도는 재정 부족 문제를 해결하기 위해 지방교부세 인상을 정부에 요청했다. 세율이 인상되면 제주도의 교부세가 2조5000억원까지 늘어날 것으로 기대하고 있으며, 이는 지역 재정에 큰 도움이 될 것으로 보인다. 오영훈 제주지사는 ‘확장적 재정정책이 필요하다’고 강조했다.

법무법인 디엘지가 중국 대형 로펌 쥔쩌쥔과 전략적 업무협약을 체결하여 한중 기업을 위한 원스톱 법률 서비스를 제공할 예정이다. 이번 협약은 양국 기업의 비즈니스 확장을 지원하기 위한 것으로, 법률 검토와 규제 대응 등 다양한 서비스를 포함한다.

노만석 검찰총장 대행이 ‘대장동 사건 항소 포기’ 사태로 사의를 표명했다. 검찰 내부의 집단 반발과 법무부의 외압 의혹이 제기되면서 후폭풍이 이어졌고, 이는 검찰의 신뢰성에 큰 타격을 줄 것으로 보인다.

안창호 국가인권위원장이 혐오 표현 진정 사건에 대해 1년 가까이 조사 요청에 불응하고 있어 비판을 받고 있다. 인권위원장이 혐오 표현 당사자로서 조사를 받지 않는 상황은 인권위의 신뢰성에 부정적인 영향을 미칠 것으로 예상된다.

넥슨의 ‘마비노기 모바일’이 2025 대한민국 게임대상에서 대상을 수상하며 올해 최고의 게임으로 선정됐다. 원작의 감성을 계승하고 모바일로 재해석한 이 게임은 높은 협력도와 생활형 콘텐츠로 유저들 사이에서 큰 인기를 끌고 있다.


🔍 Top 10 뉴스 상세

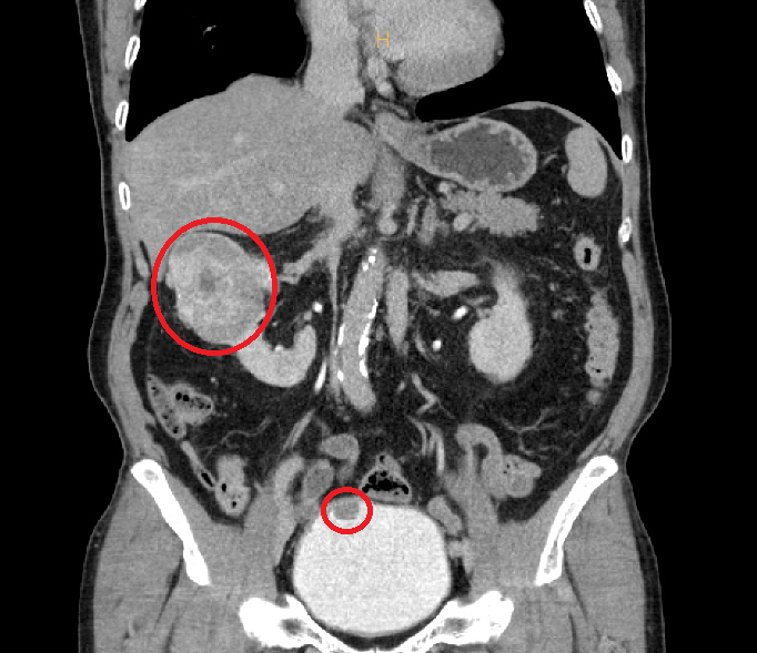
#1 신장암과 방광암 동시 수술, 로봇 기술로 성공적 치료

📰 요약
순천향대학교 부천병원에서 73세 환자의 7cm 신세포암을 로봇 부분절제술로 성공적으로 제거하며 신장 기능을 보존하는 혁신적인 수술이 진행됐다. 이 병원은 고난도 로봇수술 경험을 바탕으로, 일반적으로 전절제술이 필요한 크기의 종양에서도 부분절제술을 선택하여 환자의 삶의 질을 높이고 있다.

이번 수술은 신장과 방광에서 동시에 발견된 암을 다루는 복잡한 과정으로, 이상욱 교수는 '신장 기능을 지키는 것이 환자의 삶의 질에 매우 중요하다'고 강조하며 맞춤형 수술의 필요성을 역설했다. 로봇 수술을 통해 출혈을 최소화하고 정밀한 절제가 가능해져, 환자의 회복에도 긍정적인 영향을 미칠 것으로 기대된다.

순천향대 부천병원은 앞으로도 다양한 고난도 수술을 통해 환자 맞춤형 치료를 지속적으로 제공할 계획이다. 이러한 혁신적인 접근은 암 치료 분야에서 새로운 패러다임을 제시하며, 환자들에게 더 나은 치료 결과를 안겨줄 것으로 전망된다.

CT 검사에서 약 7㎝ 크기의 신세포암(위)과 방광암(아래)이 동시에 발견된 모습.

📰 관련 뉴스: https://n.news.naver.com/mnews/article/076/0004346077

🔗 원문: https://n.news.naver.com/mnews/article/076/0004346077
📅 발행: 2025-11-12 09:00 (수집: 2025-11-12 09:00)


#2 수능 응시생 역대 최대, '사탐런'이 변수로 작용

📰 요약
2026학년도 대학수학능력시험이 13일 시행되며, 총 55만4174명이 응시하는 역대 최대 규모를 기록했다. 이는 지난해보다 6% 증가한 수치로, '황금돼지띠' 해에 태어난 학생들이 고3이 되면서 응시자가 급증한 결과다. 특히 사회탐구 과목을 선택한 응시자 비율이 77.3%로, 전년 대비 15.2%포인트 상승하며 사탐런 현상이 두드러진다.

입시 전문가들은 사탐 응시자 증가로 인해 평균 점수가 상승하고, 표준점수는 하락할 것으로 예상하고 있다. 이는 수시에서 수능 최저학력기준을 충족하는 인원이 많아져 내신의 변별력이 더욱 커질 것이라는 분석으로 이어진다. 반면, 과학탐구 과목만 선택한 응시생은 22.7%로 역대 최저치를 기록하며, 이들에겐 불리한 상황이 될 수 있다.

의대 정원이 축소되면서 자연계 최상위권의 경쟁이 더욱 치열해질 전망이다. 정부는 지난해 의대 정원을 늘렸으나, 의료계의 반발로 올해는 기존 수준으로 되돌렸다. 이로 인해 일부 상위권 학생들은 치대나 약대 등 다른 의학계열로 진로를 변경할 가능성이 커졌다.

< 13일 수능 시험…“너도 나도 수능 대박” > 2026학년도 대학수학능력시험을 하루 앞둔 12일 서울 이화여고에서 수험생들이 후배들

📰 관련 뉴스: https://n.news.naver.com/mnews/article/015/0005210575

🔗 원문: https://n.news.naver.com/mnews/article/015/0005210575
📅 발행: 2025-11-12 09:00 (수집: 2025-11-12 09:00)


#3 나주역세권 개발, 서남권의 미래를 열다

📰 요약
전라남도 나주시는 KTX 나주역 주변의 개발 사업을 본격적으로 시작하며 서남권의 교통, 관광, 비즈니스 중심지로 성장할 계획을 세웠습니다. 이 사업은 광주전남공동혁신도시와 원도심을 연결하는 새로운 성장축을 형성하고, 미래형 복합도시로의 도약을 위한 기반을 마련하는 데 중점을 두고 있습니다.

이번 개발은 6만6,000m2 규모의 부지를 활용하여 공공과 민간이 협력하는 복합개발 방식으로 진행됩니다. 교통환승존, 상업존, 문화존 등 5대 기능을 갖춘 복합 공간이 조성되어 교통과 상권, 문화가 조화를 이루는 환경을 제공할 예정입니다. 특히, 스마트 환승 허브와 청년창업몰, 시민을 위한 복합문화공간이 포함되어 지역 경제와 문화 활성화에 기여할 것으로 기대됩니다.

나주시는 올해 기본구상과 타당성 조사를 실시하고, 2026년까지 개발계획을 수립하여 2027년부터 본격적인 착공에 들어갈 예정입니다. 윤병태 나주시장은 '혁신도시와 원도심의 균형발전을 통해 나주가 서남권의 대표 도시로 성장할 수 있도록 최선을 다하겠다'고 강조했습니다.

전남 나주시 나주역 일대 전경. [사진=나주시]

📰 관련 뉴스: https://n.news.naver.com/mnews/article/031/0000980405

🔗 원문: https://n.news.naver.com/mnews/article/031/0000980405
📅 발행: 2025-11-12 09:00 (수집: 2025-11-12 09:00)


#4 울릉도, 12월 뱃길 두 주간 끊긴다

📰 요약
울릉도와 육지를 연결하는 여객선이 12월에 2주간 운항 중단될 예정으로, 주민들의 불편이 우려되고 있다. 현재 4개 노선에서 총 5척의 여객선이 운항 중이나, 그 중 4척이 이미 운항을 중단한 상태다. 특히, 울릉∼포항 노선의 유일한 운항선인 울릉크루즈호마저 정기검사로 인해 운항이 중단될 예정이다.

이로 인해 울릉도 주민들은 긴급한 사유로 육지를 오가야 할 경우 발이 묶이는 상황에 처할 수 있다. 대학 입시나 혼례, 장례 등 중요한 일정이 있는 주민들에게는 큰 타격이 예상된다. 다행히 울릉∼포항 화물선은 정상 운항 중이어서 생필품 공급에는 문제가 없을 것으로 보인다.

포항지방해양수산청과 경북도, 울릉군은 대체 선박 투입 방안을 논의하고 있으나, 뚜렷한 해결책을 찾지 못하고 있다. 이 문제는 울릉도 주민들의 생활에 직접적인 영향을 미치고 있어, 조속한 대책 마련이 시급하다.

경북 포항해수청은 여객선사를 상대로 대체 선박 투입 방안을 제시할 것을 요청한 상태다. 사진은 기사의 특정 사실과 관련 없음. 클립아트코리아

📰 관련 뉴스: https://n.news.naver.com/mnews/article/662/0000081995

🔗 원문: https://n.news.naver.com/mnews/article/662/0000081995
📅 발행: 2025-11-12 09:00 (수집: 2025-11-12 09:00)


#5 해남군, 중·고등학생 입학축하금 30만원 지원

📰 요약
해남군이 중·고등학생을 위한 입학축하금을 지원하기로 결정했다. 이번 지원은 '해남군 초·중·고등학생 입학축하금 지원 조례' 개정을 통해 이루어지며, 기존 초등학생에 한정된 지원을 중·고등학생으로 확대하는 것이다. 지원금은 1인당 30만원으로, 약 770명의 학생이 혜택을 받을 것으로 예상된다.

이 지원은 해남군이 교육발전특구로 지정된 성과의 일환으로, 교육복지 강화를 목표로 하고 있다. 신청은 입학생의 보호자가 가능하며, 필요한 서류를 지참해야 한다. 군 관계자는 '이번 사업이 교육복지를 실질적으로 체감할 수 있는 계기가 될 것'이라고 강조했다.

전남 해남군청 전경. [사진=해남군]

📰 관련 뉴스: https://n.news.naver.com/mnews/article/031/0000980404

🔗 원문: https://n.news.naver.com/mnews/article/031/0000980404
📅 발행: 2025-11-12 09:00 (수집: 2025-11-12 09:00)


#6 제주, 재정 위기 극복을 위한 교부세 인상 요청

📰 요약
제주도가 심각한 재정 위기에 처했습니다. 오영훈 제주지사는 중앙지방협력회의에서 이재명 대통령에게 지방교부세와 지방소비세 세율 인상을 강력히 요청했습니다. 현재 제주도의 교부세는 지난해 2조1330억원에서 올해 1조9183억원으로 1000억원 이상 줄어들며, 재정 곳간이 바닥났습니다.

제주도는 교부세율이 20년간 고정되어 있어 인상이 절실한 상황입니다. 세율이 인상되면 제주도는 최대 2조5000억원까지 교부세를 확보할 수 있을 것으로 기대하고 있습니다. 이는 저성장 기조 속에서 제주도의 재정 안정성을 높이는 데 큰 도움이 될 것입니다.

이번 회의는 새 정부 출범 이후 처음으로 열린 중앙지방협력회의로, 제주도의 요청이 정부 정책에 반영될지 주목됩니다. 제주도는 세율 인상이 이루어질 경우, 재정 수요에 맞춰 안정적인 재정 운영이 가능할 것으로 전망하고 있습니다.

용산 대통령실에서 열린 중앙지방협력회의

📰 관련 뉴스: https://n.news.naver.com/mnews/article/661/0000065195

🔗 원문: https://n.news.naver.com/mnews/article/661/0000065195
📅 발행: 2025-11-12 09:00 (수집: 2025-11-12 09:00)


#7 디엘지, 쥔쩌쥔과 한중 법률 협력 체계 구축

📰 요약
법무법인 디엘지가 중국의 대형 로펌 쥔쩌쥔과 전략적 업무협약을 체결하며 한중 기업을 위한 원스톱 법률 서비스를 제공하기로 했다. 이번 협약은 쥔쩌쥔이 해외 로펌과 체결한 첫 사례로, 디엘지에게도 중국 현지 로펌과의 첫 협력이다. 이는 최근 한중관계 변화에 따른 경제 협력 확대를 대비한 실무 중심의 파트너십으로, 양국 기업에 실질적인 지원 체계를 마련하는 데 큰 의미가 있다.

양사는 이번 협약을 통해 복잡한 글로벌 시장 환경에서 한중 기업의 비즈니스 확장을 위한 법적 지원을 체계적으로 결합할 예정이다. 협력 범위는 고효율 법률 서비스 제공, 마케팅 지원, 신규 법률 서비스 개발 등 다양한 분야를 포함하며, 기업들이 실질적으로 체감할 수 있는 혜택을 제공할 계획이다. 이를 통해 한국 기업은 쥔쩌쥔의 현지 네트워크와 전문성을 활용하여 중국 시장에서의 안정적이고 전문적인 법률 서비스를 이용할 수 있게 된다.

디엘지의 조원희 대표변호사는 이번 협약이 양국 기업에 폭넓은 서비스 선택권과 시장 접근성을 제공할 것이라고 강조했다. 쥔쩌쥔의 리양 수권대표는 이번 협력이 양국 법률시장을 잇는 실질적 교두보가 될 것이라고 덧붙였다. 앞으로 양사는 산업별 공동 프로젝트 발굴과 맞춤형 지원 체계 구축을 통해 시너지를 확대해 나갈 전망이다.


📰 관련 뉴스: https://n.news.naver.com/mnews/article/018/0006162778

🔗 원문: https://n.news.naver.com/mnews/article/018/0006162778
📅 발행: 2025-11-12 09:00 (수집: 2025-11-12 09:00)


#8 검찰총장 대행, 항소 포기 후 사퇴

📰 요약
노만석 검찰총장 대행이 '대장동 사건 항소 포기'로 인한 검찰 내부의 강한 반발에 직면해 결국 사의를 표명했습니다. 그는 지난 7월 심우정 전 총장의 자진 사퇴 이후 4개월간 직무를 수행해왔습니다. 서울중앙지검은 유동규 전 본부장과 김만배 씨 등 대장동 민간업자들에 대한 1심 판결에 항소하지 않기로 결정했으며, 이는 검찰 내부의 기존 관행과 상충하는 결정이었습니다.

이번 사건은 법무부의 외압이 작용했을 가능성을 제기하며, 검찰 내부의 불만이 폭발하는 계기가 되었습니다. 대검 지휘부의 판단에 대해 부장검사와 일선 검사장들이 사퇴를 요구하는 등 강한 반발이 이어졌고, 이는 검찰 조직의 신뢰도에 심각한 타격을 줄 수 있습니다. 노 대행은 이러한 상황 속에서 해명을 시도했지만, 내부의 반발은 더욱 거세졌습니다.

노만석 검찰총장 직무대행 / 사진=연합뉴스

📰 관련 뉴스: https://n.news.naver.com/mnews/article/057/0001918498

🔗 원문: https://n.news.naver.com/mnews/article/057/0001918498
📅 발행: 2025-11-12 09:00 (수집: 2025-11-12 09:00)


#9 안창호 인권위원장, 혐오표현 조사 불응 논란

📰 요약
안창호 국가인권위원장이 자신을 피진정인으로 한 혐오 표현 진정 사건에 대해 1년 가까이 조사 요청에 응하지 않고 있다는 사실이 드러났다. 인권위원장이 혐오 표현을 막아야 할 책임이 있는 상황에서, 조사에 불응하는 것은 심각한 비판을 받고 있다. 인권위는 지난해 9월 36개 시민단체의 연대체로부터 진정을 접수한 후, 올해 1월과 9월 두 차례에 걸쳐 안 위원장에게 답변을 요청했으나 아무런 응답을 받지 못했다.

이 사건은 안 위원장이 인사청문회에서 성별과 성적 지향에 대한 차별적 발언을 한 것과 관련이 있다. 공동행동은 이러한 발언이 평등권 침해에 해당한다고 주장하며, 인권위에 엄정한 조사를 요구했다. 안 위원장은 국정감사에서 '이 부분 떳떳하다'며 문제없음을 주장했지만, 그의 태도는 인권위의 신뢰성에 큰 타격을 줄 수 있다.

안창호 국가인권위원장이 5일 국회에서 열린 국회운영위원회 인권위 등에 대한 국정감사에서 의원의 질문을 듣고 있다. 윤운식 선임기자 yws@hani.co.kr

📰 관련 뉴스: https://n.news.naver.com/mnews/article/028/0002776049

🔗 원문: https://n.news.naver.com/mnews/article/028/0002776049
📅 발행: 2025-11-12 09:00 (수집: 2025-11-12 09:00)


#10 넥슨 '마비노기 모바일', 올해 최고의 게임으로 선정!

📰 요약
넥슨의 '마비노기 모바일'이 2025 대한민국 게임대상에서 최고의 영예를 안았다. 이 게임은 21년간 사랑받아온 원작 '마비노기'의 감성을 모바일로 재해석하여 유저들에게 큰 인기를 끌고 있다. 부산 벡스코에서 열린 시상식에서 마비노기 모바일은 경쟁작들을 제치고 대상을 차지하며 그 진정성을 입증했다.

김동건 데브캣 대표는 수상 소감에서 '게임을 만드는 데 오래 걸렸는데 상을 주셔서 감사하다'며 유저들과의 소통을 강조했다. 올해 3월 출시된 이 게임은 모바일 MMORPG로, 생활형 콘텐츠와 높은 협력도를 통해 유저들 사이에서 큰 반향을 일으켰다. 지난달 기준으로 누적 다운로드 수는 364만 회에 달하며, 양대 앱 마켓에서 매출 순위 최상단을 기록하고 있다.

넥슨 '마비노기 모바일'이 2025 대한민국 게임대상에서 왕좌를 거머쥐었다. /사진=김미현 기자

📰 관련 뉴스: https://n.news.naver.com/mnews/article/417/0001112879

🔗 원문: https://n.news.naver.com/mnews/article/417/0001112879
📅 발행: 2025-11-12 09:00 (수집: 2025-11-12 09:00)


📝 이 포스트는 AI 기반 뉴스 수집 및 요약 시스템으로 자동 생성되었습니다.

Leave a Comment